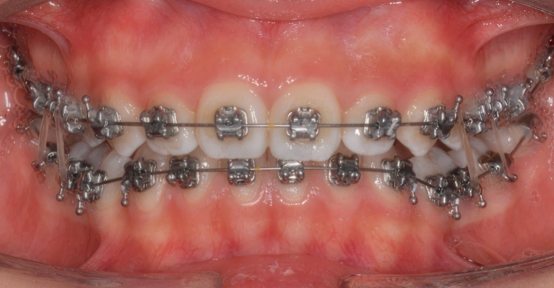
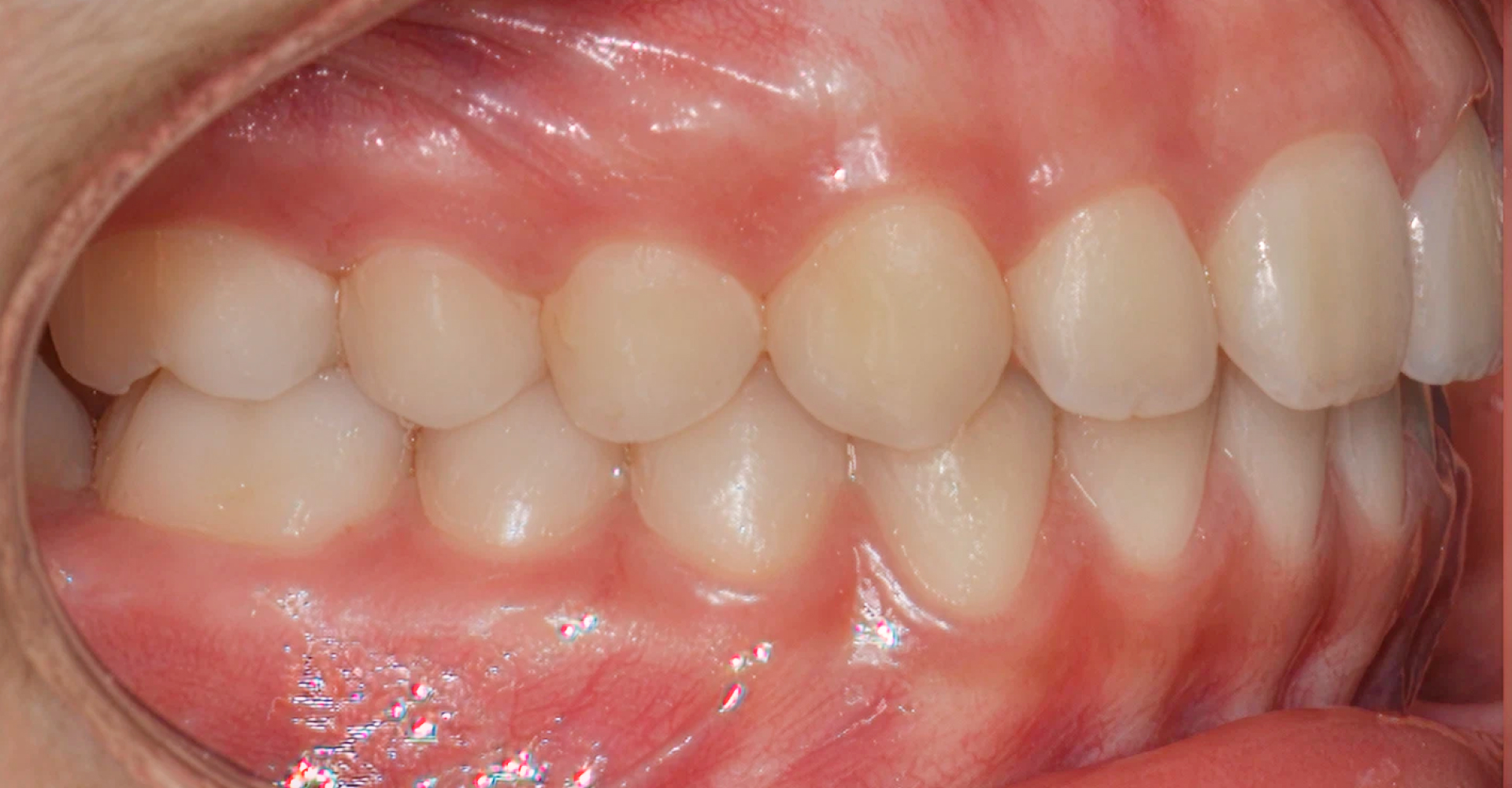
#morsoprofondo
Caso clinico

![]()
Laura Piccinelli03/03/2025Trustindex verifica che la fonte originale della recensione sia Google.
Il Dott.Preda è il migliore! Lui e il suo staff si sono occupati egregiamente del palato stretto di mio figlio ed ora si stanno occupando di me. Seri e professionali!![]()
Laura Venturi11/11/2022Trustindex verifica che la fonte originale della recensione sia Google.
Sono stata seguita dal dottor Preda per problema di palato stretto e per allineare le arcate dei denti. Mi sono trovata benissimo. Lo consiglio caldamente.![]()
Alexandra Franzoni22/11/2021Trustindex verifica che la fonte originale della recensione sia Google.
A seguito di un trattamento orto-chirurgico con il Dr Preda non posso che consigliarlo. Sono molto contenta dei risultati ottenuti![]()
Mia Lisa Pascale21/11/2021Trustindex verifica che la fonte originale della recensione sia Google.
Il dottor Preda è bravissimo, professionale preparato e gentile e sopratutto molto chiaro nello spiegare tutti i passaggi del trattamento, prospettando costi, tempi ed eventuali possibilità difficoltà. Il personale è cordiale e sorridente, sempre a disposizione. Ci si sente ascoltati e seguiti. Sono sempre puntuali, non ci è mai capitato di dover aspettare per il nostro appuntamento. Anche le dottoresse che collaborano in studio con il Dr Preda hanno una grande competenza e disponibilità . Lo studio è luminoso, elegante e accogliente, non potrei consigliare luogo migliore .![]()
Giulia De Rugeriis21/11/2021Trustindex verifica che la fonte originale della recensione sia Google.
Avevo una problematica di palato stretto e denti leggermente in avanti, un trattamento che solitamente richiede anni di ortodonzia, dal dottor Preda è stato risolto in pochi mesi con un risultato eccellente e senza aver lasciato alcuna traccia del lavoro svolto. Il dottore ha abbattuto tempi e costi superando ogni aspettativa. Il personale è estremamente cortese e sempre a disposizione. La struttura è elegante e accogliente, la pulizia e la precisione sono all'ordine del giorno, non potrei consigliare luogo migliore .![]()
Beatrice Romagnuolo20/11/2021Trustindex verifica che la fonte originale della recensione sia Google.
Professionalità, competenza, cordialità e simpatia fanno del Dottor Preda e del suo staff un punto di riferimento validissimo per Bologna e l’Emilia Romagna nel campo odontoiatrico. È stato l’unico ad individuare il mio problema, diagnosticandolo in modo esatto e preciso. Consigliatissimo.![]()
Ottavia Cesari19/11/2021Trustindex verifica che la fonte originale della recensione sia Google.
Sono stata seguita dal Dott. Nicola Preda per più o meno quattro anni, e sono contentissima del risultato finale, ci riandrei subito! Venivo da tentativi passati con altri ortodontisti non tanto riusciti, e finalmente grazie a questo studio ho ottenuto un allineamento dei denti e una occlusione ottimali (con piastrine + trattamento Invisalign). I collaboratori del dottore sono tutti molto preparati e super solari (dalla receptionist Elisa a tutti gli altri dipendenti come Susj o Ana Maria), è un piacere andare a fare le visite in studio. Le visite sono frequenti, ed il dottore non manca mai di supervisionare tutte le fasi del trattamento. Lo studio è moderno e molto attrezzato, e quasi ad ogni visita vengono effettuate le foto della bocca e del viso per tracciare i progressi. Davvero consigliatissimi, grazie ancora!![]()
Sofia Biagini18/11/2021Trustindex verifica che la fonte originale della recensione sia Google.
Sono una giovane paziente del dottor Preda e non posso che ringraziarlo per avermi fatto un sorriso meraviglioso. Il Dr. Preda e le sue assistenti sono davvero un capolavoro.![]()
Francesco Leccese02/11/2021Trustindex verifica che la fonte originale della recensione sia Google.
Il Dott. Preda è risultato molto professionale e rassicurante. La bimba mi ha chiesto di rilasciargli una recensione del seguente tenore: "dentista bravissimo, recensione no da 10 ma 1000...per tutte le altre cose bravissimissimo".
Direttore Sanitario Dr. Nicola Preda | Iscriz. Albo Odontoiatri Bologna n.642 | Ass.ne Cattolica n. 00068432009280 | P.IVA 04344900370
Privacy Policy Cookie Policy