#morsoinverso
Caso clinico
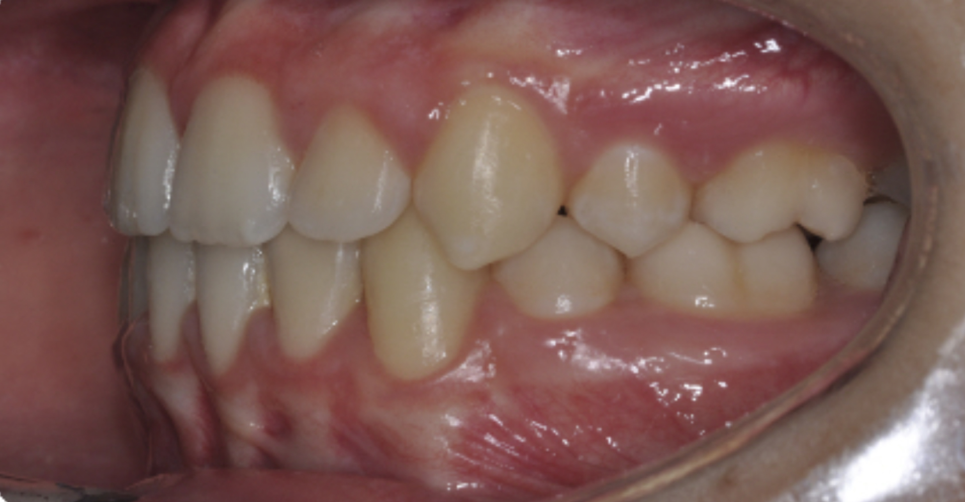
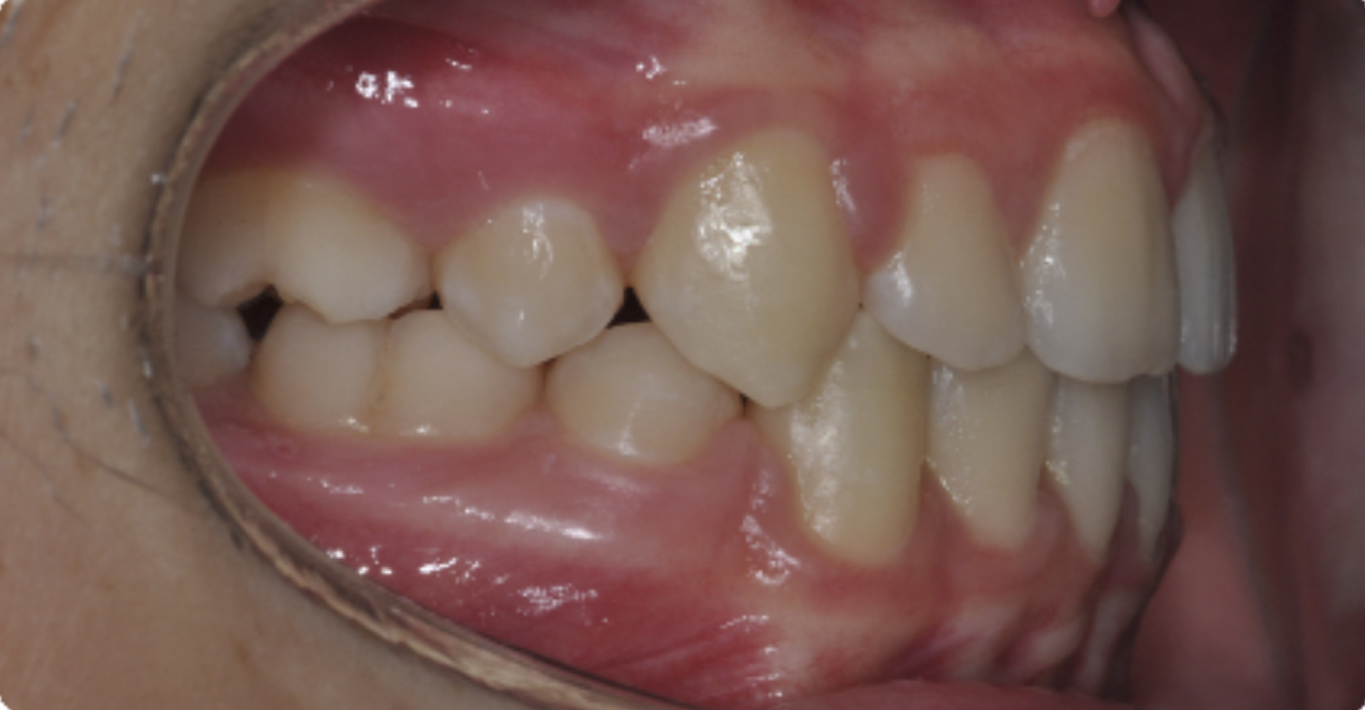
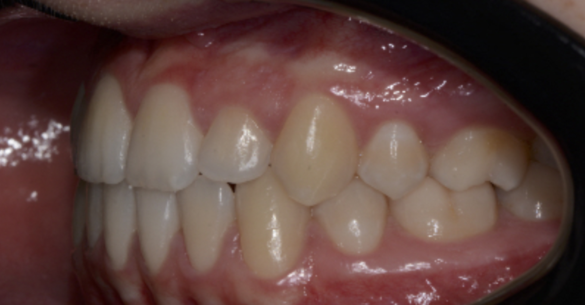
Filippo è arrivato da noi con un importante disallineamento e un morso inverso anteriore.
Abbiamo iniziato insieme un percorso con apparecchio fisso durato circa due anni, che ha richiesto anche l’estrazione di quattro premolari permanenti.
Ma c’è una cosa importante da ricordare
La vera fine del trattamento non coincide con la rimozione dell’apparecchio, ma con la fine della crescita!
Oggi Filippo ha 19 anni, i suoi mascellari hanno completato lo sviluppo e solo ora possiamo davvero dire che:
![]()
Laura Piccinelli03/03/2025Trustindex verifica che la fonte originale della recensione sia Google.
Il Dott.Preda è il migliore! Lui e il suo staff si sono occupati egregiamente del palato stretto di mio figlio ed ora si stanno occupando di me. Seri e professionali!![]()
Laura Venturi11/11/2022Trustindex verifica che la fonte originale della recensione sia Google.
Sono stata seguita dal dottor Preda per problema di palato stretto e per allineare le arcate dei denti. Mi sono trovata benissimo. Lo consiglio caldamente.![]()
Alexandra Franzoni22/11/2021Trustindex verifica che la fonte originale della recensione sia Google.
A seguito di un trattamento orto-chirurgico con il Dr Preda non posso che consigliarlo. Sono molto contenta dei risultati ottenuti![]()
Mia Lisa Pascale21/11/2021Trustindex verifica che la fonte originale della recensione sia Google.
Il dottor Preda è bravissimo, professionale preparato e gentile e sopratutto molto chiaro nello spiegare tutti i passaggi del trattamento, prospettando costi, tempi ed eventuali possibilità difficoltà. Il personale è cordiale e sorridente, sempre a disposizione. Ci si sente ascoltati e seguiti. Sono sempre puntuali, non ci è mai capitato di dover aspettare per il nostro appuntamento. Anche le dottoresse che collaborano in studio con il Dr Preda hanno una grande competenza e disponibilità . Lo studio è luminoso, elegante e accogliente, non potrei consigliare luogo migliore .![]()
Giulia De Rugeriis21/11/2021Trustindex verifica che la fonte originale della recensione sia Google.
Avevo una problematica di palato stretto e denti leggermente in avanti, un trattamento che solitamente richiede anni di ortodonzia, dal dottor Preda è stato risolto in pochi mesi con un risultato eccellente e senza aver lasciato alcuna traccia del lavoro svolto. Il dottore ha abbattuto tempi e costi superando ogni aspettativa. Il personale è estremamente cortese e sempre a disposizione. La struttura è elegante e accogliente, la pulizia e la precisione sono all'ordine del giorno, non potrei consigliare luogo migliore .![]()
Beatrice Romagnuolo20/11/2021Trustindex verifica che la fonte originale della recensione sia Google.
Professionalità, competenza, cordialità e simpatia fanno del Dottor Preda e del suo staff un punto di riferimento validissimo per Bologna e l’Emilia Romagna nel campo odontoiatrico. È stato l’unico ad individuare il mio problema, diagnosticandolo in modo esatto e preciso. Consigliatissimo.![]()
Ottavia Cesari19/11/2021Trustindex verifica che la fonte originale della recensione sia Google.
Sono stata seguita dal Dott. Nicola Preda per più o meno quattro anni, e sono contentissima del risultato finale, ci riandrei subito! Venivo da tentativi passati con altri ortodontisti non tanto riusciti, e finalmente grazie a questo studio ho ottenuto un allineamento dei denti e una occlusione ottimali (con piastrine + trattamento Invisalign). I collaboratori del dottore sono tutti molto preparati e super solari (dalla receptionist Elisa a tutti gli altri dipendenti come Susj o Ana Maria), è un piacere andare a fare le visite in studio. Le visite sono frequenti, ed il dottore non manca mai di supervisionare tutte le fasi del trattamento. Lo studio è moderno e molto attrezzato, e quasi ad ogni visita vengono effettuate le foto della bocca e del viso per tracciare i progressi. Davvero consigliatissimi, grazie ancora!![]()
Sofia Biagini18/11/2021Trustindex verifica che la fonte originale della recensione sia Google.
Sono una giovane paziente del dottor Preda e non posso che ringraziarlo per avermi fatto un sorriso meraviglioso. Il Dr. Preda e le sue assistenti sono davvero un capolavoro.![]()
Francesco Leccese02/11/2021Trustindex verifica che la fonte originale della recensione sia Google.
Il Dott. Preda è risultato molto professionale e rassicurante. La bimba mi ha chiesto di rilasciargli una recensione del seguente tenore: "dentista bravissimo, recensione no da 10 ma 1000...per tutte le altre cose bravissimissimo".
Direttore Sanitario Dr. Nicola Preda | Iscriz. Albo Odontoiatri Bologna n.642 | Ass.ne Cattolica n. 00068432009280 | P.IVA 04344900370
Privacy Policy Cookie Policy