11 Novembre 2025 /
#morsoprofondo
Caso clinico
Il sorriso di Thomas
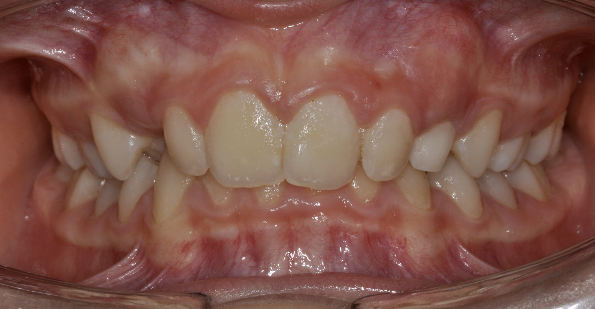
Thomas presentava un morso profondo con agenesia dei due incisivi laterali: i denti superiori coprivano eccessivamente quelli inferiori e l’assenza dei laterali spezzava la simmetria del sorriso.
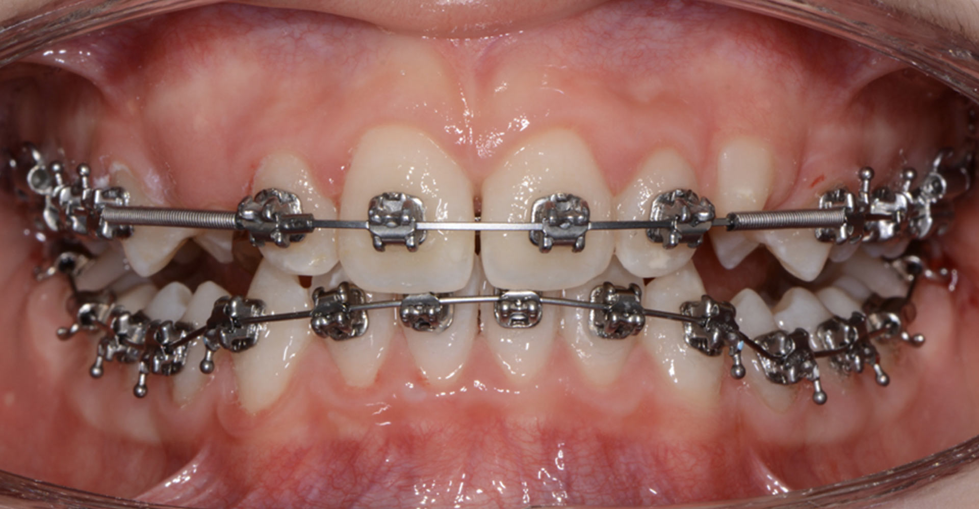
Abbiamo iniziato con una diagnosi completa e un piano interdisciplinare:
- Ortodonzia per correggere il morso e gestire gli spazi
- Sostituzione dei laterali mancanti con opzioni protesiche conservative per integrare forma e colore
Risultato? Un sorriso più armonioso e simmetrico, un’occlusione bilanciata e una masticazione più funzionale.
Before
After









